Tuberkulose
Bitte beachten
Aufgrund einer Personalversammlung am
Mittwoch, 18. März 2026, 8.00 bis 13.00 Uhr,
ist der Fachbereich Gesundheitsmanagement der Region Hannover eingeschränkt erreichbar.
Vielen Dank für Ihr Verständnis!
Tuberkulose-Beratung
Wird eine Tuberkulose-Erkrankung festgestellt, muss das Gesundheitsamt informiert werden (Meldepflicht).
Es werden dann nach festgelegten Kriterien alle Personen, die einen engen Kontakt zu dem oder der Erkrankten hatten, ermittelt und untersucht. So soll eine weitere Verbreitung der Tuberkulose verhindert werden.
Grundlage ist das Infektionsschutzgesetz (IfSG).
Unsere Leistungen
- Beratung für Kontaktpersonen und Erkrankte zu medizinischen und sozialen Fragen
- Tuberkulose-Testungen
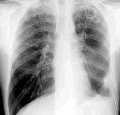
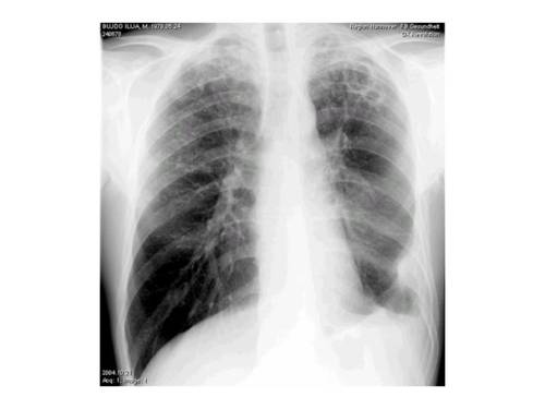
- Röntgenuntersuchung der Lunge
- Untersuchung des Sputums (Auswurf)
- Gegebenenfalls Behandlung der Tuberkulose
- gesetzlich vorgeschriebene ärztliche Zeugnisse für die Aufnahme in Gemeinschaftseinrichtungen
- kostenfreie Informationsveranstaltungen für interessierte Einrichtungen
- kostenfreie Untersuchung für unbegleitete minderjährige Flüchtlinge
- kostenfreie Untersuchung für Familiennachzug
Die Tuberkulose-Beratungsstelle,
dass sind eine Allgemeinärztin, ein Arzt für innere Medizin, Sozialarbeiterinnen und Sozialarbeiter, Sachbearbeiterinnen, medizinisch-technische Radiologie Assistentinnen und medizinische Fachangestellte.
Deutsch
English
中文
Danish
Eesti
Español
Suomi
Français
Italiano
日本語
한국
Nederlands
Norge
Polski
Portugues
Русский
Svenska
Türkçe
العربية
Romanesc
български




