Was ist Tuberkulose? - Hannover.de

Was ist Tuberkulose?

Tuberkulose ist eine meldepflichtige ansteckende Erkrankung, die durch Bakterien (Mykobakterien) verursacht wird.

Es handelt sich um eine sehr ernste Erkrankung, die unbehandelt auch zum Tod führen kann.

Am häufigsten erkrankt die Lunge an einer Tuberkulose, es können aber auch alle anderen Organe betroffen sein.

Wichtig zu wissen: 

Die Tuberkulose-Infektion ist erst nach einiger Zeit nachweisbar.

Nicht jede Infektion führt zur Erkrankung. Nicht jede Erkrankung ist ansteckend.

Tuberkuloseaufklärung im Video bereitgestellt vom LHL International Tuberculosis Foundation und Vestre Viken Hospital Trust (Norwegen).

Mehrsprachige (mobile) Tuberkuloseaufklärung im Video

Aufklärungsvideos für Betroffene und Helfende in vielen Sprachen, zum Beispiel Englisch, Somali, Dari, Arabisch, Russisch und viele weitere.Diese Videos w...

lesen

Daran ist Tuberkulose zu erkennen:

  • Husten
  • Fieber
  • Müdigkeit
  • Erschöpfung
  • Gewichtsabnahme
  • Nachtschweiß

So kann man sich anstecken:

Eine Ansteckung erfolgt in der Regel von Mensch zu Mensch durch Tröpfcheninfektion (Einatmen von Bakterien) beim:

  • Husten
  • Sprechen
  • Niesen

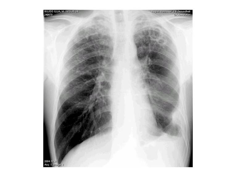
Tuberkulose im Bild

Zu Beginn der Krankheit gibt es häufig keine typischen Krankheitszeichen.

Ausführliche Informationen zu Tuberkulose, Ansteckung und Heilung

Was ist Tuberkulose?
Tuberkulose ist eine Infektionskrankheit und wird durch langsam wachsende Bakterien verursacht, die Mycobacterium tuberculosis heißen. Die Bakterien können durch Husten, Niesen, Singen oder Sprechen von Mensch zu Mensch übertragen werden. Man schätzt, dass nach einer Infektion nur etwa 5-10 Prozent der Menschen krank werden. Zwischen Infektion und Erkrankung können dabei Monate, manchmal sogar Jahre vergehen. 

Woran erkenne ich Tuberkulose?
Menschen, die an Lungentuberkulose erkrankt sind, haben oft Husten und leichtes Fieber. Diese Beschwerden sind jedoch nicht spezifisch und treten beispielsweise auch bei Erkältungen auf. Halten die Symptome jedoch über mehrere Wochen an oder treten weitere Beschwerden wie starkes Schwitzen, ungewollter Gewichtsverlust oder Müdigkeit hinzu, muss auch an Tuberkulose gedacht werden. Dann ist es erforderlich, eine Röntgenaufnahme der Lunge und eventuell weitere Untersuchungen zu veranlassen. In selteneren Fällen kann Tuberkulose auch andere Organe als die Lunge befallen. Insbesondere, wenn man Kontakt zu jemandem mit Tuberkulose hatte, sollte man mit diesen Beschwerden einen Arzt aufzusuchen.

Ist Tuberkulose ansteckend?
Es kommt auf die Art der Tuberkulose an. Wenn jemand an ansteckender Lungentuberkulose erkrankt ist und der Entzündungsherd Anschluss an die Atemwege hat, werden winzigste, bakterienhaltige Tröpfchen durch Husten, Niesen, Singen oder Sprechen in die Luft abgegeben. Wenn diese von einer anderen Person eingeatmet werden, kann es zu einer Ansteckung kommen. Ein Ansteckungsrisiko besteht nur, wenn der Erkrankte mit dem Auswurf Bakterien aushustet. Das ist nicht bei jedem/jeder Patient*in mit Lungentuberkulose der Fall.  Wenn die Tuberkulose ein anderes Organ als die Lunge betrifft (sogenannte exrapulmonale Tuberkulose), besteht in der Regel kein Ansteckungsrisiko. Wird eine ansteckende Tuberkulose behandelt, ist der Erkrankte oft schon nach wenigen Wochen einer wirksamen Therapie nicht mehr ansteckend.

Wie gefährlich ist Tuberkulose?
Tuberkulose ist fast immer heilbar, wenn sie wirksam behandelt wird und alle Medikamente nach Vorschrift eingenommen werden. Selten gibt es allerdings Erreger, die nicht mehr auf alle Medikamente ansprechen oder andere Begleitumstände, die eine Therapie schwierig machen. In Deutschland sind die Voraussetzungen gut, Tuberkulose und auch resistente Tuberkulose erfolgreich zu behandeln. 
Bei etwa 90% der Erwachsenen, die sich mit Tuberkulose anstecken, kommt es nie zu einer Erkrankung. Sie können die Infektion mit Hilfe ihres Immunsystems kontrollieren. Diese Infizierten sind nicht erkrankt, haben keine Beschwerden und sind für andere nicht ansteckend. Die Infektion bezeichnet man als eine latente Infektion (LTBI), da die Erreger sich in einer schlafenden Form im Körper befinden. Etwa 5 bis 10% der Infizierten erkranken aber im Laufe ihres Lebens an einer Tuberkulose, die behandelt werden muss. Das Risiko eine Erkrankung zu entwickeln ist in den ersten beiden Jahren nach einer Infektion am größten. Für Kinder und Immungeschwächte ist das Risiko für eine Ansteckung und für eine Erkrankung höher.

Ist Tuberkulose heilbar?
Die Heilungschancen für Menschen mit Tuberkulose sind sehr gut, wenn alle Medikamente konsequent und in ausreichender Dosierung für die gesamte Behandlungsdauer eingenommen werden. Wenn die Einnahme der Medikamente zu früh abgebrochen wird oder nicht regelmäßig jeden Tag erfolgt, kann die Therapie versagen. Die Behandlungszeit ist zwar verhältnismäßig lang. Sie ist aber in voller Länge notwendig, auch wenn man sich nach einigen Wochen gesund fühlt. Selbst wenn die Bakterien im Labor nicht mehr nachgewiesen werden können, sind am Ort der Infektion manchmal noch eine kleine Anzahl von Bakterien vorhanden. Diese können nur abgetötet werden, wenn die Medikamente über die vollständige Therapiedauer eingenommen werden.

An wen kann ich mich bei Fragen wenden? 
Tuberkulose-Beratungsstelle der Region Hannover 
Gesundheitsamt, Weinstraße 2-3,
30171 Hannover 
Tel.: (05 11) 6 16-2 28 88
 

Nach oben