Infektionskrankheiten von heimischen Raubtieren - Hannover.de

Tierärztliche Hochschule

Infektionskrankheiten von heimischen Raubtieren

Wissenschaftler der Tierärztlichen Hochschule untersuchen Fuchs, Marderhund und Marder auf Infektionskrankheiten und die Ansteckungsgefahr für den Menschen.

Neben Marderhunden und Mardern wurden auch Füchse auf Infektionskrankheiten untersucht.

 Menschen und Wildtiere kommen sich in Deutschland immer näher. Land- und Forstwirtschaft oder Sport- und Freizeitaktivitäten führen dazu, dass Menschen die natürlichen Lebensräume von Wildtieren verstärkt nutzen. Gleichzeitig halten sich Wildtiere immer häufiger in menschlichen Siedlungen auf. Die Kontaktflächen zwischen Menschen oder Haustieren einerseits und Wildtieren andererseits vergrößern sich. Damit steigt die Relevanz der Erreger, mit denen Wildtiere infiziert sein können. Im Sinne des "One-Health"-Konzepts sind besonders Krankheiten, die zwischen Menschen und Wildtieren übertragen werden können – sogenannte Zoonosen – interessant. Zu den möglichen Erregern zählen beispielsweise Viren, Bakterien oder Parasiten.

Untersuchung von Füchsen, Steinmardern und Marderhunden

Um mehr über die Infektionen unserer heimischen Wildtiere zu erfahren, förderte die Oberste Jagdbehörde im schleswig-holsteinischen Ministerium für Energiewende, Landwirtschaft, Umwelt und ländliche Räume Forschungsarbeiten an der Stiftung Tierärztliche Hochschule Hannover. Wissenschaftler des Instituts für Parasitologie, des Instituts für Pathologie und des Instituts für Terrestrische und Aquatische Wildtierforschung untersuchten 77 Füchse, 19 Steinmarder und 7 Marderhunde auf Infektionskrankheiten. Die meisten der bisher untersuchten Raubsäuger kamen aus Nordfriesland und Dithmarschen, vereinzelt auch aus anderen Regionen. Das Augenmerk der Wissenschaftler lag besonders auf mögliche Zoonoseerreger.

Keine viralen Erkrankungen, aber Parasiten gefunden

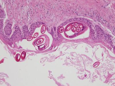
Nematodeneier im Analbeutel eines Fuchses mit Entzündung

Jetzt liegen die Ergebnisse aus mehreren Untersuchungsjahren vor: Virale Erkrankungen wie Tollwut, Staupe und Pseudotollwut (Aujeszky-Virus) konnten die Wissenschaftler nicht finden. Dafür traten Parasiten in größerem Umfang auf. Bei Rotfüchsen fanden sie vor allem Endoparasiten, also Parasiten, die im Körperinnern eines Wirtes vorkommen. 45,5 Prozent der untersuchten Rotfüchse waren mit dem Hundespulwurm (Toxocara canis) infiziert, 36,4 Prozent mit Haarwürmern (Capillaria spp.), 27,3 Prozent mit dem Fuchsbandwurm (Echinococcus multilocularis), 24,7 Prozent trugen den Saugwurm Alaria alata in sich und bei 23,4 Prozent der Rotfüchse fanden die Wissenschaftler den Hakenwurm Uncinaria stenocephala. Außerdem entdeckten sie verschiedene Bandwurmarten der Gattungen Taenia- und Mesocestoides sowie Kokzidien, den Peitschenwurm Trichuris vulpis und den Spulwurm Toxascaris leonina. In den untersuchten Marderhunden wiesen die Wissenschaftler die gleichen Parasiten nach.

Keine Räude gefunden

Die bei Steinmardern bislang gefundenen Endoparasiten gehörten alle zur Gattung Capillaria. Die Fadenwürmer Trichinella spp. konnten bei keiner Tierart nachgewiesen werden. Auch einen Befall mit dem Erreger der Räude (Sarcoptes scabiei) fanden die Wissenschaftler nicht. Bei zwei Fuchsproben fanden die Wissenschaftler allerdings Milben der Gattung Demodex. Im Balg eines Fuchses befand sich zudem eine Auwaldzecke (Dermacentor reticulatus), außerdem wurden verschiedene andere Zecken-Arten sowie Fuchs- und Igelflöhe entdeckt.

Füchse und Marderhunde mit zoonotischem Potential

Nach bisherigen Auswertungen beherbergen zwei Drittel der Füchse und voraussichtlich auch der Marderhunde in Nordfriesland und Dithmarschen Parasiten mit zoonotischem Potential. Steinmarder hingegen scheinen nach den bisherigen Untersuchungen keine maßgebliche Rolle als Träger zoonotischer Parasiten zu spielen. Um einen größeren Überblick zu gewinnen, wäre es sinnvoll, die Untersuchungen auf andere Regionen Schleswig-Holsteins auszudehnen.

(Veröffentlicht: 14. April 2016)

Nach oben